Colección de Obras
Granada
Año: 2005
Materiales: Video a color y sonido.
Protagonista Andrea Fasani / Cámara y edición: Ricardo Pons
Dirección: Graciela Taquini
Medidas/Duracion: 6' 14
Año ingreso: 2018
Forma ingreso: Donación de la artista
Nro. registro: 997769
Etiquetas: Video
Ubicación de obra: Reserva
Basada en el testimonio videográfico de la artista Andrea Fasani, quien fue víctima del terrorismo de Estado en Argentina (1976-1983). La protagonista por primera vez relata la experiencia de cautiverio vivida durante cuarenta y cinco días en el año 1988 en un video que realizó para el Archivo Witness dirigido por Peter Gabriel en el año 1999.
Graciela Taquini, seleccionó de ese relato las frases referidas a la memoria y como un apuntador se las hizo repetir para conformar el contenido de una video-instalación Resonancia, que realizó para el Museo del Arte y la Memoria de La Plata.
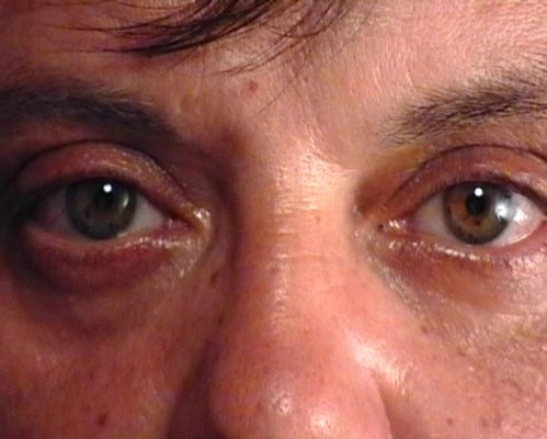
Granada es entonces, el registro de un detrás de la escena. Su estética está basada en primeros planos del rostro, una puesta en escena barroca, leves fundidos, planos detalle fragmentados. Este backstage ha sido interpretado desde diversos puntos de vista, como un interrogatorio, como un exorcismo, como una ruptura de género testimonio de desaparecido. Explora desde el discurso lo selectivo de la memoria y desde la cámara los intersticios entre el recuerdo y el olvido.
La viodeointalación ha sido expuesta en diversos espacios: Museo del Arte y la Memoria, durante el Ciclo vivir para contar en La Plata, provincia de Buenos Aires (2005), en Canal Ciudad Abierta, Documentales: Ciclo Derechos Humanos (2005), en la Embajada Argentina en Paris, Francia (2005), en MUNTREF Ejercicios de memoria, una muestra curada por Gabriela Golder y Andrés Denegri (2006), en Mirada de mujer con curaduría de Manuel García en Cuba y Honduras (2006); en el Open House de Londres, en el Reino Unido, una muestra curada por Gabriela Salgado en la residencia del embajador argentino en Londres (2006); en el Instituto Cervantes (2007), en la Galería Lilian Rodríguez en Montreal, Canadá (2008), entre otros.
Taquini, Graciela
Buenos Aires, 1941
Vive y trabaja en Buenos Aires
Graciela Taquini es una artista y curadora argentina, desarrolló su arte en la producción del video experimental monocanal. Licenciada y Profesora en Historia de las Artes, Facultad de Filosofía y Letras de la Universidad Nacional de Buenos Aires, donde ejerció la docencia así como en la Universidad Nacional de La Plata.
Taquini es referente de las Artes Electrónicas en el país, comenzó a hacer ciclos de video en el año 1984 en el Centro Cultural San Martín. Se especializó en muestras que cruzan el arte y los nuevos medios como Arte en Progresión, expuesta en diversos espacios. Escribió sobre la historia del video en el país publicando diversos textos sobre cine, video y artes visuales. Desde el año 1982 comenzó a difundir la obra del director de cine etnográfico Jorge Prelorán.
Produjo ciclos de Arte Electrónico del Museo de Arte Moderno y contribuyó a la creación de su colección de video, así como también del Centro Audiovisual de la FAD, UBA. Fue asesora y realizadora en Canal Ciudad Abierta y en ATC.
Profesora Consulta de la Carrera de Multimedia de la Universidad Maimónides. Profesora en la Maestría de Artes Electrónicas y en la Maestría de Curaduría de la Universidad Nacional de Tres de Febrero. Es Miembro de número la Academia Nacional de Bellas Artes. Entre sus tareas coordina el Premio Trabucco de Nuevos Medios y es miembro del consejo de Administración de la Fundación Klemm.
Participó como curadora de la Bienal de Cuenca Ecuador (2001), como conferencista en la Bienal de Santa Cruz de la Sierra Bolivia (2010) y como Jurado en la Bienal de Salto Uruguay (2011). Entre sus curadurías más destacadas se encuentran: Bienal Interferencias, Francia (2000), Bienal de Cuenca (2001) Vértigo, Malba (2003), Eduardo Kac, obras vivas, Espacio Fundación Telefónica /2006) Violencias, video arte argentino Museo del Barrio Nueva York (2007), entre muchas otras.
En 2011 realizó una muestra antológica en la Sala Cronopios del Centro Cultural Recoleta.
Sus obras han recibido diferentes premios, entre ellos el Premio de la Asociación de Críticos de Arte de la Argentina al mejor guión. Sus colegas de la Asociación de Críticos le dieron un premio por su acción Multimedia en 2005. En 2012 recibió el Premio Konex de Platino en Video Arte.
Algunas de sus obras están en las colecciones del IVAM (Valencia), la Mediateca Caixa Forum (Barcelona) y el Museo Castagnino Macro (Rosario), el Museo de Arte Moderno de Buenos Aires y su obra Granada se incorporó en la colección del Museo de la Memoria durante el 2018.
+ info sobre la artista: www.gracielataquini.info/
